
نجح فريق طبي متخصص في مستشفيات جامعة الإسكندرية في تحقيق إنجاز طبي نادر، تمثل في إنقاذ حياة مصاب من قطاع غزة بعد خضوعه لعملية جراحية دقيقة بالغة الخطورة، استمرت عدة ساعات داخل المستشفى الجامعي الجديد.
إنقاذ حياة فلسطيني بعد إصابته برصاصة في الرأس
وجاء استقبال الحالة ضمن توجيهات الدولة المصرية بتقديم الرعاية الصحية المتكاملة للأشقاء العرب، وتوفير أفضل سبل العلاج للمصابين، في إطار الدور الإنساني والطبي الذي تقوم به مصر دعمًا للأشقاء في الأزمات.
وأعرب الدكتور عبد العزيز قنصوة، رئيس جامعة الإسكندرية، عن فخره بهذا الإنجاز، مؤكدًا أنه يجسد الكفاءة العالية للفريق الطبي بالمستشفيات الجامعية، ويعكس المكانة المتميزة للجامعة وقدرتها على التعامل مع العمليات الجراحية المعقدة وفق أعلى معايير الجودة والرعاية الصحية.
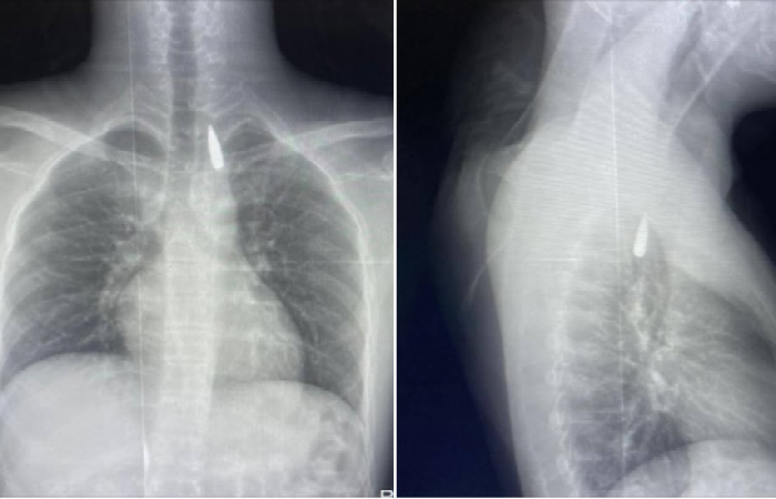
من جانبه، أوضح الدكتور تامر عبد الله، عميد كلية الطب ورئيس مجلس إدارة المستشفيات الجامعية، أن العملية أُجريت يوم 21 أكتوبر 2025، موضحًا أن المصاب من قطاع غزة كان قد تعرض لإصابة بطلق ناري في الرأس، استقر المقذوف على إثرها داخل تجويف القفص الصدري بالقرب من الشريان الأورطي، وهو من أخطر المواقع في جسم الإنسان.
ورغم دقة الحالة، نجح فريق من أطباء جراحة القلب والصدر والتخدير والمعاونين في استخراج المقذوف بأمان وإنقاذ حياة المريض، في إنجاز يُضاف إلى سجل المستشفيات الجامعية بالإسكندرية في مجال الجراحات الدقيقة.







